Funcionalidades

clinical_notes

Eficiência no diagnóstico

Com a ajuda da IA, é possível agilizar o processo de diagnóstico, reduzindo o tempo necessário para identificar e localizar fraturas até mesmo fraturas que podem passar despercebidas aos olhos humanos, proporcionando uma detecção mais abrangente.

edit

Marcação automática

Nossa IA é capaz de identificar e marcar com precisão a presença de sinais de fraturas em radiografias.

brand_awareness

Integração com sistemas PACS

A IA pode ser integrada aos sistemas de PACS (Picture Archiving and Communication System) existentes em clínicas e hospitais.

Produtos

  • Eletrocardiograma
  • Raios X
  • Mamografia
  • Ultrasom
  • Fluoroscopia
  • Veterinário

Resultados

Radiografias analisadas pela Inteligência Artificial

Detecção de fratura do escafóide em Raio X

Fratura do escafóide

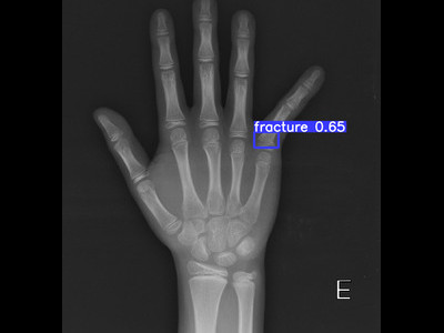
Detecção de fratura da falange proximal em Raio X

Fratura da falange proximal

Detecção de fratura do rádio distal em Raio X

Fratura do rádio distal

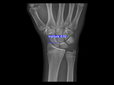
Detecção de fratura do piramidal em Raio X

Fratura do piramidal

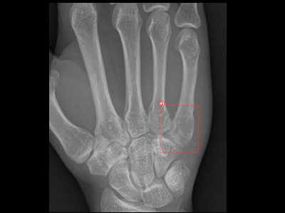
Detecção de fratura do quinto metarcapo em Raio X

Fratura do quinto metarcapo

Detecção de fratura da falange distal em Raio X

Fratura da falange distal

Detecção de fratura da falange distal em Raio X

Fratura da falange distal

Experimente

Pelo nosso site

Nossa página de análise de Farturas em Raio-X permite que seja enviada uma imagem de raio-x para que seja analisada para detectar possíveis fraturas.

Pelo bot no WhatsApp

Nosso bot no WhatsApp está preparado para receber imagens de raio-x e analisa-las para detectar possíveis fraturas.

Entre em Contato

Se você tiver alguma dúvida, sugestão ou desejar entrar em contato conosco, ficaremos felizes em ajudar: